دندانپزشکان هشدار میدهند: پنج اشتباه رایج در مراقبت از دندانها
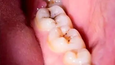
پوسیدگی دندان با وجود مسواک زدن همچنان شایع است و پیشگیری مؤثر، نیازمند رویکردی جامع و شخصیسازیشده به سلامت دهان است.
پوسیدگی دندان با وجود مسواک زدن همچنان شایع است و پیشگیری مؤثر، نیازمند رویکردی جامع و شخصیسازیشده به سلامت دهان است.
براساس پژوهشهای جدید، ژنها و همچنین عادتهای روزمره میتوانند بر خطر ابتلا در پوسیدگی دندان اثرگذار باشند.
مصرف بالای قند در کودکان نه تنها باعث چاقی و پوسیدگی دندان می شود، بلکه می تواند منجر به اختلالات متابولیکی، کاهش…
با اصلاح تغذیه و مصرف خوراکیهای سادهای مانند سیب، پنیر و کشک میتوان تا حد زیادی از پوسیدگی دندان پیشگیری کرد.
انتخاب خمیردندان مناسب برای کودکان و بزرگسالان، با توجه به تفاوت در میزان فلوراید، طعم و ترکیبات، نقش کلیدی در پیشگیری…
خیلیها از ترس این که خوردن تهدیگ باعث خرابی و پوسیدگی دندانهایشان شود، لب به آن نمیزنند.
کرم خوردگی دندان : اکثر افراد تصور می کنند که دندان کرم خورده را دیگر نمی توان درمان کرد. این در حالی است که تحقیقات…
پوسیدگی دندان همیشه به پرکردن ختم نمیشود؛ با تغییر سبک زندگی میتوان جلوی آن را گرفت
پژوهش تازهای نشان میدهد بیماری لثه و پوسیدگی دندان میتوانند خطر سکته مغزی را به طور قابل توجهی افزایش دهند.
بسیاری از والدین تصور میکنند مراقبت از دندانهای شیری چندان اهمیتی ندارد و پوسیدگی در دوران کودکی طبیعی است.
کرم خوردگی دندان : اکثر افراد تصور می کنند که دندان کرم خورده را دیگر نمی توان درمان کرد. این در حالی است که تحقیقات…
سلامت دهان و دندان نقش بسیار مهمی در کیفیت زندگی و سلامت عمومی ما دارد. یکی از مهمترین ابزارهای مراقبت از دندانها،…
یک دندانپزشک گفت: رفلاکس معده باعث اسیدی شدن محیط دهان و در نتیجه افزایش خطر پوسیدگی دندانها میشود.
لبخند، زبان بیکلامی است که هر انسانی آن را میفهمد. اما پشت این لبخند زیبا، دندانهایی سالم و مقاوم پنهان شدهاند که…
کمبود ویتامین A سبب اختلال در سلولهای اپیتلیال میشود.